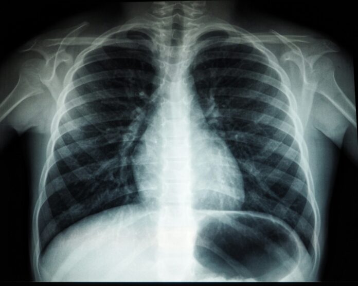
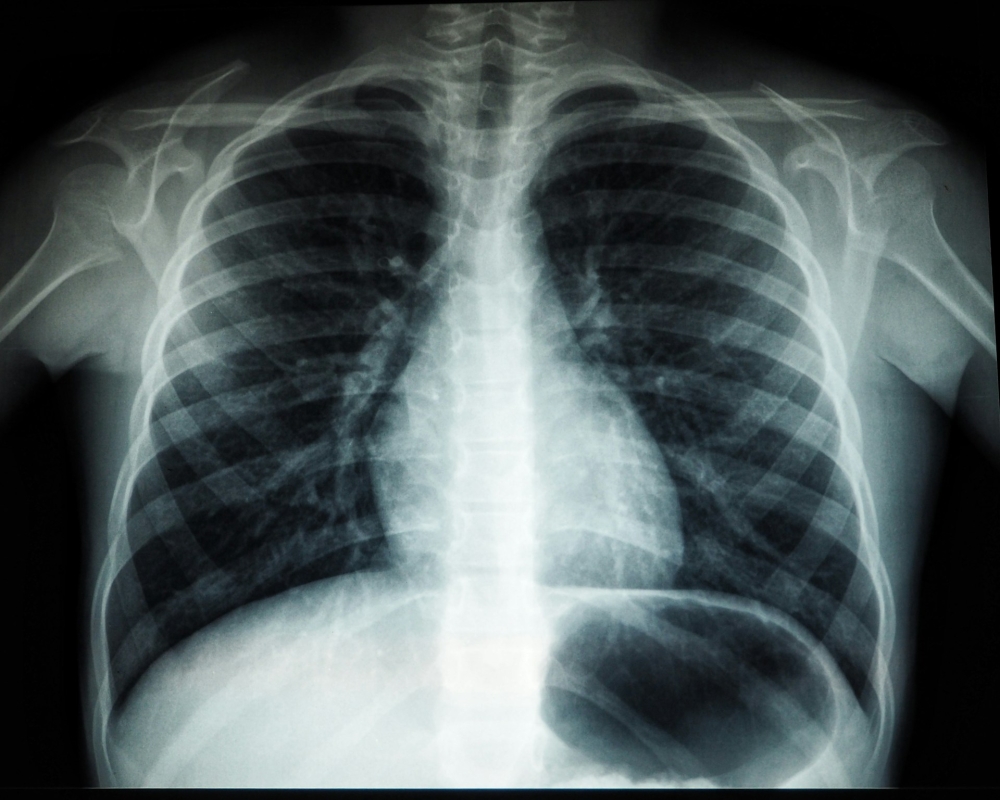
National Six schoolchildren quarantined after contracting tuberculosis in Kota Tinggi outbreak By Ben Tan - February 6, 2026 0 96 FacebookTwitterPinterestWhatsApp Most Read Life / 16 h ago Malaysia / 19 h ago Malaysia / 6 h ago Malaysia / 3 h ago Malaysia / 16 h ago Money / 16 h ago World / 6 h ago Money / 18 h ago World / 16 h ago Malaysia / 19 h ago Malaysia / 16 h ago Showbiz / 6 h ago Malaysia / 3 h ago Malaysia / 3 h ago Sports / 18 h ago You May Also Like Related Articles Malaysia / 1 m ago Malaysia / 15 m ago Malaysia / 32 m ago Just IN 1 m ago 15 m ago 32 m ago ↑